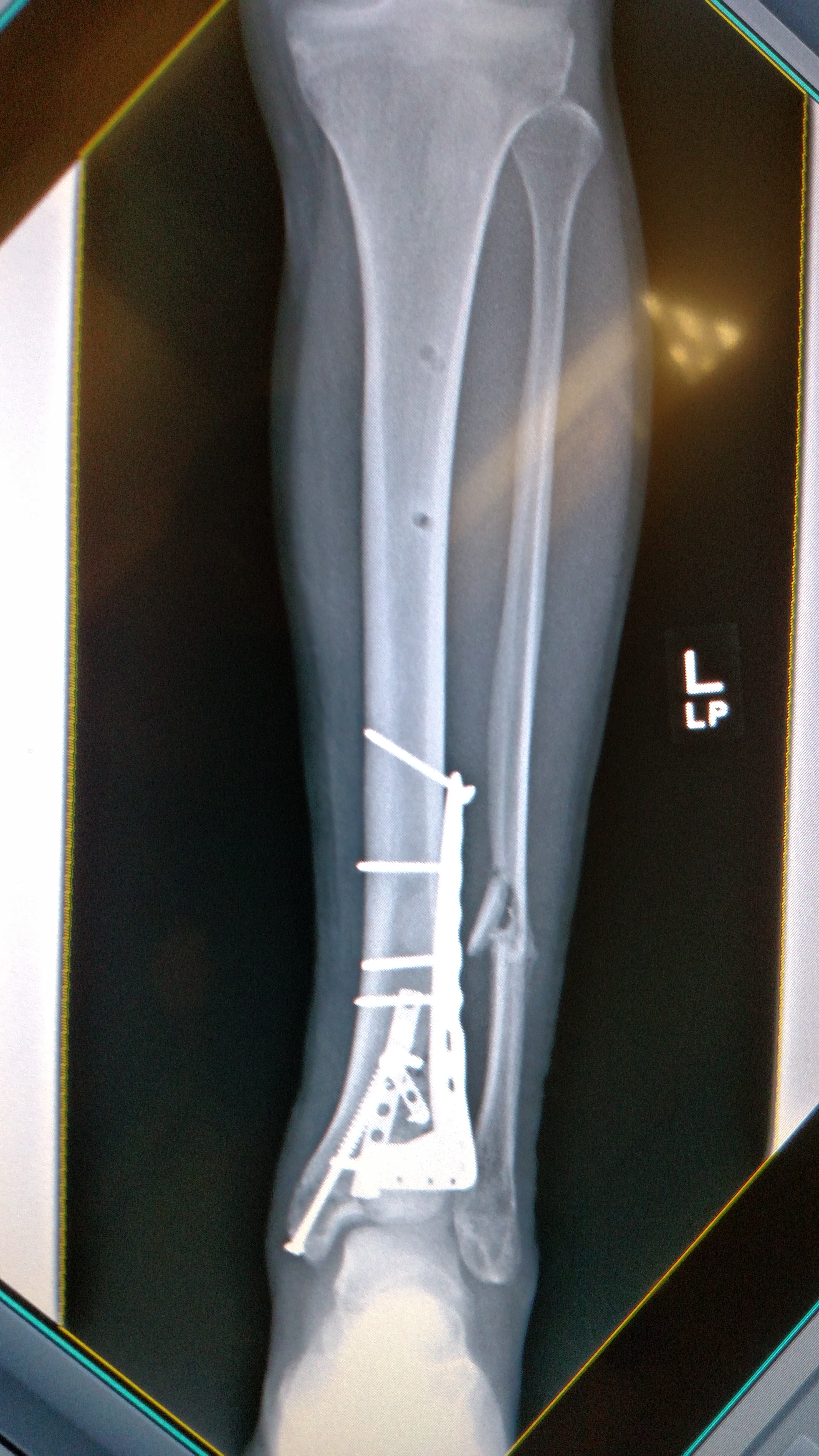
IMG_20150423_105443277 Published August 20, 2015 at 2952 × 5248 in IMG_20150423_105443277 This is where we started. All the hardware is still in there